Praxen für Pränataldiagnostik/ Pränatalmedizin zeichnen sich durch
erfahrene und spezialisierte Untersucher (DEGUM II/DEGUM III) sowie
durch eine entsprechende technische Ausstattung aus. (High-End- Ultraschallgerät,
Möglichkeit der digitalen Bildnachbearbeitung)
Der Begriff Pränatalmedizin bedeutet Untersuchung, Erkennung und ggf.
Therapie von Erkrankungen, Risiken, Mangelversorgungen und Notzuständen
des ungeborenen Kindes.
Die Entdeckungsrate schwerer Fehlbildungen liegt bei ca. 90%.
Jede Frau hat das Recht auf Wissen, auch das Recht auf Nicht- Wissen,
ob ihr Kind gesund ist.
Diese Entscheidung muss jede werdende Mutter selbst treffen.
Bei der Entscheidung sollte bedacht werden, dass bei vielen Erkrankungen
(z.B. schwerer Herzfehler) das vorgeburtliche Erkennen wesentlich
für Gesundheit und Überleben des Kindes beiträgt.
Jede Frau trägt ein gewisses Risiko ein Kind mit Down- Syndrom (Trisomie
21) oder schwerwiegenderen Chromosomenstörungen zu bekommen. Dieses
Risiko ist teilweise altersabhängig vorgegeben. Durch das Erst-Trimester-Screening
ist es möglich, eine individuelle Risikoanalyse für das Ungeborene
bereits zwischen der 12. und 14. Schwangerschaftswoche durchzuführen.
Dabei werden Enzyme des Mutterkuchens im mütterl. Blut bestimmt, die
Nackenfalte nach genauer Vorgabe sonographisch vermessen und andere
Risiken der Schwangerschaft erfasst. Diese Parameter werden in einem
Spezialprogramm verrechnet; als Ergebnis folgt eine individuelle Risikoanalyse
für die Wahrscheinlichkeit eines Down-Syndroms. Die Untersuchung ist
gefahrlos für Mutter und Föten und bringt eine ca. 90% verlässliches
Ergebnis. Die Methode ist seit über 10 Jahren etabliert und wird weltweit
angewandt. Leider wird diese Untersuchung von den gesetzlichen Krankenkassen
nicht bezahlt und ist somit eine Selbstzahlerleistung..

Differenzierte Ultraschalluntersuchung der Stufe DEGUM II zur weiterführenden Diagnostik und Ausschluß von Fehlbildungen, Entwicklungsstörungen und anderen Gefahrenzuständen für das ungeborene Kind. Idealer Untersuchungszeitpunkt ist der Zeitraum zwischen der 20. und 22. Schwangerschaftswoche. Bei speziellen Fragestellungen ist die Untersuchung auch in anderen Wochen möglich. Bei dieser Untersuchung wird das Kind genau vermessen (Fetometrie), alle Organe des Feten , einschließlich Gehirn und Herz, beurteilt, sowie Plazenta- und Fruchtwasserverhältnisse überprüft. Damit können bis zu 95% der schweren Fehlbildungen und Entwicklungsstörungen erkannt und ggf. behandelt werden.
Die Möglichkeit, Ultraschallaufnahmen dreidimensional zu speichern, wird als 3D Technik bezeichnet. Dank sehr schneller Verrechnung dieser Bilder ist es möglich diese Bilder annähernd in Echtzeit wiederzugeben. Dann spricht man von 4D- Aufnahmen. Dieses Werkzeug nutzt der Pränataldiagnostiker, um Organe genauer untersuchen zu können (z. B. Gehirn). Wie bei einer Kernspinnuntersuchung können dreidimensionale Volumenblöcke gespeichert werden, die dann in der Nachschau beliebig gedreht und geschnitten werden können. In der Hand des Geübten ein großer diagnostischer Gewinn. Natürlich können auch Oberflächen (z.B. Gesicht) betrachtet werden, dies stellt jedoch nur einen kleinen Anteil an Möglichkeiten der 3D Technik dar.
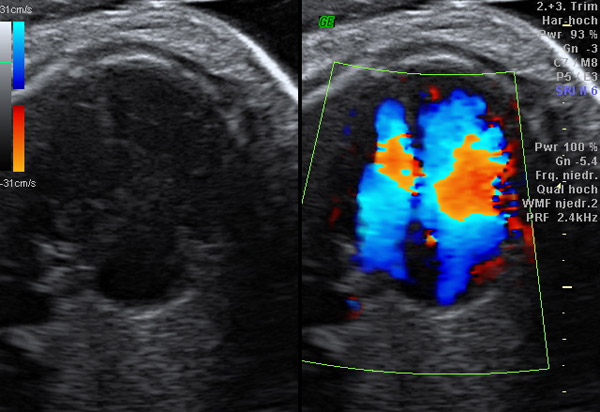
Ca. 1% aller Kinder kommen mit einem Herzfehler zur Welt. Beim Ungeborenen werden die meisten Herzfehler nicht kreislaufwirksam, erst in den ersten 48h nach der Geburt kann es zu einem kritischen Zustand des Kindes kommen. Deshalb sollten die schweren Herzfehler vor der Geburt erkannt werden und so eine optimale Versorgung der Babys schon vorgeburtlich planen zu können. Die Erkennung solcher Herzfehler ist der fetalen Echokardiographie vorbehalten. Bei dieser sehr eingehenden Untersuchung des fetalen Herzens werden ca. 85% der schweren Herzfehler erkannt. Dies bedarf einer speziellen Ausbildung und die Erlaubnis muss durch eine entsprechende Prüfung erworben werden.
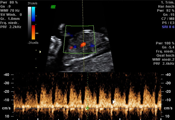
Spezielles Ultraschallverfahren zur Messung von Blutströmen in kindlichen
und mütterlichen Gefäßen. Dadurch kann die Befindlichkeit des Föten,
die Versorgungsqualität des Mutterkuchens und die Neigung zur Gestose
(früher als Schwangerschaftsvergiftung bezeichnet) untersucht und
vorhersehend überprüft werden. Diese Untersuchung ist fester Bestandteil
der sonographischen Feindiagnostik und sollte auch bei Risikoschwangerschaften
ggf. regelmäßig durchgeführt werden. Typische Indikationen sind:
mütterl. Bluthochdruck
Schwangerschaftsdiabetes
wachstumsreduzierte Kinder
Fruchtwasser-Auffälligkeiten
Mehrlingsschwangerschaften
entsprechende Vorgeschichte
u.v.m.
In manchen Fällen ist es auch heute noch notwendig, kindliche Zellen genetisch untersuchen zu lassen. Die Gewinnung dieser Zellen erfolgt durch Punktion der Bauchdecke der Mutter mittels dünner Nadel, die- unter Ultraschallsicht- entweder ins Fruchtwasser (Amniozentese) oder in den späteren Mutterkuchen (Chorionzottenbiopsie) eingebracht wird. Die Häufigkeit von Komplikationen ist unter anderen abhängig von der Erfahrung und Geübtheit der Untersuchers und kann nicht pauschal benannt werden. Über die Notwendigkeit, Durchführung und Risiken berate ich Sie gerne in meiner Sprechstunde.
Seit kurzem kann für Patienten, die ein erhöhtes Risiko im Erst- Trimester- Screening haben ein Test auf Down Syndrom, Trisomie 13 sowie Trisomie 18 aus mütterl. Blut angeboten werden. Dabei wird kindliche DNA aus mütterlichen Blut separiert und auf Chromosomenzahlveränderungen untersucht. Der Test ist sehr teuer (Selbstzahlerleistung) und bedarf einer fachgebundenen humangenetischen Beratung Näheres erfahren Sie gerne in einem persönlichen Gespräch.